Những ai có nguy cơ mắc bệnh ung thư sụn? Tìm hiểu ngay trước khi quá muộn
Ung thư sụn là một dạng ung thư xương phổ biến. Tuy nhiên, các triệu chứng của căn bệnh này thường hay bị nhầm lẫn với các u lành tính. Phẫu thuật là phương pháp thông dụng dùng để điều trị ung thư sụn. Trong vòng một thập kỷ trở lại đây, tỷ lệ người mắc bệnh ung thư sụn ngày càng cao. Vậy những ai có nguy cơ mắc bệnh ung thư sụn? Hãy cùng Bnc Medipharm tìm hiểu sâu về căn bệnh này nhé

I. Những ai có nguy cơ mắc bệnh ung thư sụn?
Người mắc bệnh ung thư sụn thường ở độ tuổi từ 40 trở lên. Hiện nay, các nhà nghiên cứu vẫn chưa tìm ra nguyên nhân dẫn đến loại ung thư xương này. Thông thường, các mầm mống ung thư sẽ bắt đầu xuất hiện và phát triển trong phần sụn bình thường. Tuy nhiên, trong một số trường hợp nó cũng có thể di căn đến xương.
Những người có nguy cơ mắc bệnh ung thư sụn thường hay bị:
1. U nội sụn
- Bạn cần lưu ý rằng u nội sụn là những khối u lành tính, nghĩa là chúng không phải ung thư. Chúng có thể tự xuất hiện hoặc do người bệnh trước đó mắc phải các bệnh lý như hội chứng Maffucci, một loại rối loạn ảnh hưởng đến hệ xương và da, hay bệnh Ollier – đa u sụn ở xương bàn tay.
2. Đa u xương sụn
- Đa u xương sụn khiến phần sụn ở xương trở nên sưng tấy.
Ngoài ra, nếu bạn đã từng dùng liệu pháp xạ trị để chữa ung thư, nguy cơ mắc bệnh ung thư sụn của bạn cũng sẽ cao hơn những người khác.
II. Các triệu chứng phổ biến của ung thư sụn là gì?
Khác với nhiều căn bệnh ung thư khác, ung thư sụn không khiến bạn cảm thấy mệt mỏi hay kiệt sức. Thay vào đó, bạn sẽ cảm nhận được các triệu chứng rõ rệt ngay tại khu vực u xương sụn phát triển. Những cơn đau sẽ trở nên tồi tệ hơn theo thời gian, đặc biệt là vào ban đêm hoặc khi bạn vận động. Nó hạn chế khả năng hoạt động của cơ thể và thậm chí khiến bạn không thể đi đứng bình thường. Nghỉ ngơi không giúp giảm bớt loại đau đớn này.
Bên cạnh đó, bạn cũng có thể sẽ phải đối mặt với:
• Khối u tăng trưởng trên xương
• Vấn đề tiểu tiện, nếu khối u nằm ở khung xương chậu
• Cảm giác căng cứng, sưng tấy và đau đớn xung quanh khu vực phát triển
III. Các giai đoạn ung thư sụn
Nắm rõ giai đoạn ung thư sẽ hỗ trợ bác sĩ có thể đưa ra kế hoạch điều trị hợp lý và tốt nhất, cũng như ước đoán tiên lượng sắp tới của người bệnh.
Ung thư sụn thường bao gồm ba giai đoạn chính:
1. Giai đoạn 1
- Ở giai đoạn này, khối u thường phát triển chậm và người bệnh có thể được điều trị bằng phương pháp phẫu thuật. Khả năng ung thư tái phát ở thời kì này khá thấp.
2. Giai đoạn 2
- Khi bệnh tình tiến triển đến giai đoạn 2, khối u phát triển và nhanh chóng lây lan sang các khu vực lân cận. Lúc này, tỷ lệ thành công của quá trình điều trị ung thư vẫn cao nhưng tỷ lệ tái phát cũng tăng đáng kể so với giai đoạn 1.
3. Giai đoạn 3
- Giai đoạn 3 còn được gọi là ung thư thời kỳ cuối. Lúc này, các khối u phát triển và thậm chí di căn sang các bộ phận khác trong cơ thể người bệnh với tốc độ nhanh nhất. Việc điều trị ở giai đoạn này gặp thách thức với tỷ lệ thành công thấp.
IV. Chẩn đoán và điều trị
1. Chẩn đoán ung thư sụn
Thực tế, rất khó có thể xác định một khối u phát triển ở xương là lành tính hay do ung thư sụn phát triển chậm. Ngoài ra, các triệu chứng đôi khi cũng có thể bị nhầm lẫn với một số vấn đề khác ở xương, chẳng hạn như nhiễm trùng. Do đó, bác sĩ sẽ yêu cầu bạn thực hiện một vài xét nghiệm để tìm hiểu vấn đề gì đang xảy ra.

1.1. Kiểm tra thể chất
Trước tiên, bác sĩ sẽ khám tổng quát cho bạn, sau đó họ đặt câu hỏi về bệnh sử cá nhân cũng như tiền sử bệnh án của các thành viên trong gia đình. Họ cũng sẽ hỏi kỹ về những triệu chứng mà bạn gặp.
Bạn có thể sẽ thực hiện ít nhất một trong số các xét nghiệm sau:
- Xạ hình xương
- Đây là một phương pháp khám bệnh bằng nguyên tử. Bác sĩ sẽ tiêm thuốc cản quang vào cơ thể để chẩn đoán nhiều chứng bệnh về xương. Kết quả của xạ hình xương chỉ ra mức độ tổn thương và khu vực mà ung thư đã lan rộng. Những khu vực đó sẽ có màu đen hoặc xám đen trên hình ảnh.
- Chụp CT
- Chụp CT là phương pháp sử dụng các tia X-quang tạo ra hình ảnh chi tiết bên trong cơ thể bạn. Chúng giúp bác sĩ phát hiện ung thư và xem liệu nó có di căn sang các khu vực khác hay không.
- Chụp MRI
- Phương pháp MRI sử dụng nam châm và sóng vô tuyến để tạo ra hình ảnh của các cơ quan nội tạng và cấu trúc của chúng. Liệu pháp này còn có thể phác thảo một khối u.
- Chụp PET
- Phương pháp chụp PET sử dụng công cụ theo dõi phóng xạ để hiển thị không gian bên trong cơ thể, từ đó giúp bác sĩ tìm hiểu xem liệu khối u có phải là lành tính hay ác tính (ung thư). Họ cũng có thể nhận ra nếu khối u đã lan rộng và định vị được vị trí chính xác của nó.
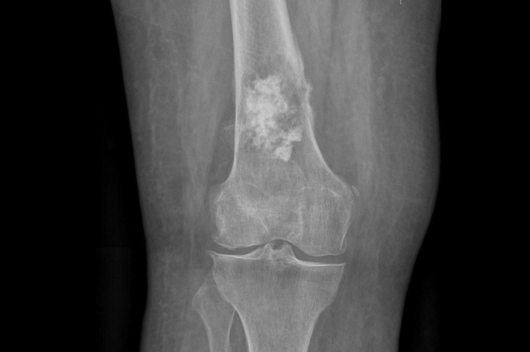
- Chụp X-quang
- Kết quả chụp X-quang chỉ ra vị trí, hình dạng và kích thước của khối u.
- Sinh thiết
- Đây là phương pháp xét nghiệm mà bác sĩ sẽ dùng kim hoặc phẫu thuật để lấy mẫu từ khối u ra nhằm kiểm tra đây có phải là u do ung thư hay không.
2. Phương pháp điều trị ung thư sụn
Bác sĩ sẽ dựa trên kích thước, vị trí và mức độ nghiêm trọng của khối u cũng như tuổi tác cùng kết quả khám sức khỏe tổng quát của bạn để đưa ra liệu trình điều trị hợp lý, tối ưu nhất.
- Trong đa số trường hợp ung thư, phẫu thuật được xem là phương pháp điều trị chính. Bác sĩ sẽ cắt bỏ khối u cùng với một số mô khỏe mạnh lân cận để đảm bảo loại bỏ hoàn toàn các mầm mống ung thư. Điều này đồng nghĩa với việc bạn sẽ mất đi một phần xương, sụn hay thậm chí là cơ bắp. Nếu vậy, bạn có thể cần thêm các liệu trình như cấy ghép hay nối xương bằng ốc vít nhằm hỗ trợ cho phần khung xương còn lại.
- Nếu khu vực ung thư ở gần khớp, ví dụ như hông hoặc đầu gối, phần khớp đó có khả năng sẽ phải thay thế. Nếu khối u nằm ở tay hoặc chân, bác sĩ sẽ làm mọi cách để giữ lại tứ chi cho bạn. Tuy nhiên, phương án này không phải lúc nào cũng khả thi. Trong trường hợp xấu nhất, bạn sẽ được lắp bộ phận nhân tạo.
- Phẫu thuật lạnh là một phương pháp điều trị ung thư hữu hiệu. Để giảm tỷ lệ tái phát, bác sĩ có thể đặt nitơ lỏng vào khu vực có khối u, khiến toàn bộ các tế bào ung thư đều bị đóng băng và tiêu diệt.
- Liệu pháp này sẽ được áp dụng khi khối u đã phát triển nghiêm trọng và có xu hướng lây sang các khu vực lân cận. Liều lượng càng cao càng tăng tỷ lệ thành công của phương pháp này, tuy nhiên nó lại gây ảnh hưởng nặng nề lên sức khỏe người bệnh.
- Để cơ thể có thể hoạt động như bình thường, người bệnh cần áp dụng phương thức vật lý trị liệu – một phần quan trọng của quá trình phục hồi. Thông thường, vật lý trị liệu cần một thời gian dài mới có thể phát huy công dụng tối đa.
Giải pháp cho người ung thư: Bi-Nutafit tăng cường hệ miễn dịch và sức khỏe toàn diện
Bi-Nutafit® là công thức đặc biệt chăm sóc sức khỏe toàn diện cho mọi đối tượng, nâng cao chất lượng cuộc sống. Là sản phẩm bảo vệ sức khoẻ cung cấp cho cơ thể những chất bổ dưỡng albumin, đạm, protein, các axit amin thiết yếu để nâng cao sức đề kháng và sự cường tráng của cơ thể, giúp sửa chữa và bảo vệ các mô, tế bào bị tổn thương do các tác nhân gây bệnh.
Bi-Nutafit® là công thức đặc biệt chăm sóc sức khỏe toàn diện cho mọi đối tượng, nâng cao chất lượng cuộc sống. Là sản phẩm bảo vệ sức khoẻ cung cấp cho cơ thể những chất bổ dưỡng albumin, đạm, protein, các axit amin thiết yếu để nâng cao sức đề kháng và sự cường tráng của cơ thể, giúp sửa chữa và bảo vệ các mô, tế bào bị tổn thương do các tác nhân gây bệnh.

Công dụng của Bi-Nutafit®:
- Bi-Nutafit bổ sung albumin, protein và các a xít amin thiết yếu cho cơ thể.
- Suy nhược cơ thể, suy nhược thần kinh, mất ngủ, stress..
- Sốt xuất huyết; chấn thương, hội chứng nhiễm trùng; nhiễm độc; viêm tuỵ...
- Trị liệu bỏng, nhanh liền sẹo, giúp làm mờ và giảm vết thâm nám trên da
- Chạy thận nhân tạo, suy thận cấp, mãn, hội chứng thận hư,
- Nâng cao sức đề kháng, bồi bổ sau phẫu thuật tim, phổi, phụ nữ sau sinh
- Sửa chữa tổn thương cấp độ DNA, tế bào; khử gốc tự do
- Hỗ trợ điều trị cho người viêm gan vius, xơ gan, suy gan, gan nhiễm mỡ...
- Tăng cường sức đề kháng cho người thiếu máu, người mỏi mệt, ung thư máu.
- Tăng cường MD sau mổ, xạ trị, phòng và hỗ trợ điều trị các loại ung thư
- Tăng khả năng hấp thụ canxi, giúp xương chắc khỏe
- Chống lão hóa, nâng cao chất lượng cuộc sống; tăng cường tuổi thọ.
>>> Chi tiết sản phẩm xem tại: Bi-Nutafit tăng cường hệ miễn dịch và sức khỏe toàn diện
Hotline tư vấn: 0962 876 060 - 0968 805 353 - 0978 307 072
____________________
Có thể bạn quan tâm
>>> Người đang hóa trị, xạ trị cần lưu ý gì ở chế độ ăn?
>>> Suy giảm nhận thức sau hóa trị ung thư kéo dài bao lâu? Đọc ngay để biết
>>> Mỗi đợt hóa trị ung thư kéo dài bao lâu? Có đau không?




_cr_280x220.jpg)





